Using ultrasound in the ER setting

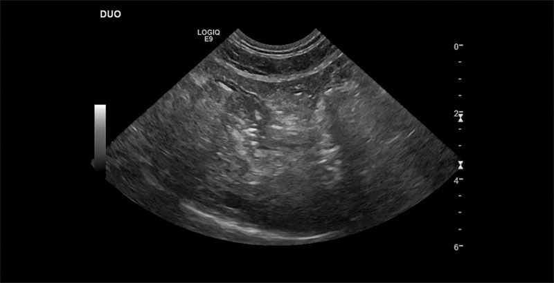
aFAST identifies a bladder mass in a 15-year-old schnauzer. Photos courtesy Dr. Erica Tramuta-Drobnis
Fine-tuning your skills with point-of-care ultrasound (POCUS) provides emergency clinicians (as well as those in general practice treating emergencies and everyday patients) with a valuable skill set.
The abdominal POCUS or aFAST3 scan (focused assessment for sonography trauma, triaging, and tracking and will be referred to hereafter as aFAST) initially arose in veterinary medical trauma assessment to identify free fluid in the abdomen. However, it has developed into much more.
Additional benefits to performing this rapid assessment (two minutes or less) include identifying ruptured bladders, abdominal masses, splenomegaly, pyometra, bladder stones, pancreatitis, and, with proficiency and experience, gallbladder disease (e.g. mucoceles), and anaphylaxis. The sky’s the limit.
While I will not bore you with how the human POCUS was adapted to veterinary medicine, Gregory R. Lisciandro1–4 revolutionized the diagnostic ability veterinarians have when evaluating patients with trauma and then helped guide the transformation of the use of ultrasound in assessing patients in the emergency setting to become much more. Vet Blue, aFAST,3 tFAST,3 and continued updates provide veterinarians with key skills to systematically, consistently, and confidently identify and diagnose patients, permitting prompt treatment and prognosis assistance.
How to perform an aFAST scan
A skill worth learning, POCUS evaluations can be utilized in general practice and the emergency setting. Regardless of our place of work, we all see emergencies. However, they are not used only when things are dire. For the cat with polyuria (PU)/polydipsia (PD) and chronic intermittent vomiting, or the lethargic dog the owner claims is just “old,” performing an aFAST may glean valuable information. It may lead you to recommend a complete abdominal ultrasound by a specialist or guide additional in-house diagnostics.
However, the key to gaining valuable information from these scans is knowing when and how to use them, confidently relaying information to owners, and not undervaluing or undermining your abilities and findings.

An eight-year-old F/S domestic shorthair underwent aFAST and was identified to have free gas.
Clinical indications for use
When should we use aFAST scanning to evaluate a patient who presents to our clinic? Indications may include:3,5
- All patients that are ADR, or when an owner knows the pet is off but cannot pinpoint the primary issue
- Any blunt force trauma
- All cases with suspected peritonitis
- Any patient with a history of collapse (acute single episode or episodic)
- Patients with a history of changes in mental status
- Post-op patients presenting with evidence of bleeding or concerns for blood loss
- Post-op patients with a risk of peritoneal effusions/peritonitis
- Anemic patients
- When you have any concerns about free fluid
- To assess for bladder stones
The four acoustic windows
When scanning, ensure proper contact between the transducer and the patient. While it is uncommon to shave for aFAST scans, we want to part the fur as best as possible and use sufficient alcohol or ultrasound gel to ensure appropriate contact and minimize artifacts.5
Develop a systematic plan prior to scanning and find what works for you. The four acoustic windows we utilize in the aFAST scan are:3,6
1) Diaphragmatic-hepatic (DH) perspective (immediately caudal to the animal’s xiphoid). Initial assessment:
- Examine for fluid accumulation between the diaphragm and the liver lobes.
- This view will provide the only means to assess for fluid in the lungs or surrounding the pericardium from the abdomen.
- This view is the most effective at detecting free fluid while a patient is in the right
lateral position.5
2) Spleno-renal (SR) perspective (left gravity-dependent). This is situated over the patient’s left flank. The left kidney and spleen can be identified here.
3) Cysto-colic (CC) view (cranial to the bladder). This view reveals the uterus (if unspayed), colon, and bladder.
4) Hepato-renal (HR) view (right gravity-dependent). This examination assesses for fluid accumulation between the intestines and the abdominal wall.
- The right kidney and the liver are visible here.
- Executed below the navel, it represents the most gravity-dependent region laterally.3
If your goal is simply a “fluid check,” free fluid is most frequently observed in the DH and CC views.3
Abdominal fluid score (AFS)
Though only validated in dogs with blunt force trauma, the abdominal fluid score (AFS) quantifies the peritoneal fluid seen. This can help us judge the severity of the trauma. Further, we can serially track and monitor the risk of anemia development in dogs. This can help guide our need for blood products or a surgeon’s intervention.5
An AFS of zero means no fluid found, while an AFS of four notes fluid is found at all four acoustic windows. In trauma, a 2004 prospective study in 100 dogs with blunt force trauma, an evaluation for the presence of fluid using an aFAST scan showed 100 per cent specificity and 90 per cent sensitivity.5,7 Note this score is not based on the volume of fluid present in each quadrant; it is simply that fluid is in each location.

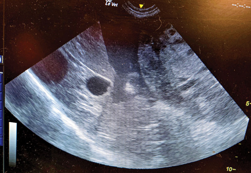
A 12-year-old M/N mixed breed presented for acute collapse, hemoabdomen with significant ascites.
Clinical examples
Nothing speaks louder than images that help demonstrate things we may be able to identify on scans performed in under five to10 minutes. Findings on aFAST scans provide owners with valuable information.
1) Figure 1. A 15-year-old M/N schnauzer with a four-month history of urinary accidents and dribbling urine presented with hematuria and an inability to urinate. This image clearly shows a large bladder mass, accounting for clinical signs.
2) Figure 2. An eight-year-old F/S domestic shorthair presented for vague GI signs of 48 hours, with a decreasing appetite, and then abruptly stopped eating with only one episode of vomiting. I was unsure if what I saw on my initial FAST scan (free gas in the belly) was an artifact or real until the radiographs suggested free gas near the diaphragm on the ventral dorsal view. The radiologist performed a full ultrasound and confirmed the presence of free gas in the abdomen. Despite no fever, she had a perforated intestine with no apparent mass identified.
3) Figure 3. This is an example of a classic hemoabdomen presentation. A large to giant breed dog collapses. It was fine the day prior and then acutely weak, lethargic, and ghostly white. This demonstrates the presence of a large volume of peritoneal fluid that, when aspirated, was consistent with a hemoabdomen.
4) Figure 4. An example of significant peritoneal fluid showing an abnormal liver and spleen (or just a mass that used to be the spleen). This patient has a similar presentation to the patient in Figure 3.
Figure 2 shows that while we can be diagnostic in many cases, we always need to consider/recommend evaluation by a specialist (radiologist, internist, or criticalist especially trained for complete ultrasounds) as there are limitations to what aFAST scans can identify and will vary depending on the individual’s training and equipment available.
Limitations and pitfalls
The validity and accuracy of diagnostics, such as ultrasound, rely closely on the skill of the ultrasonographer and the equipment at hand. Though blaming a tool for poor results is not ideal, low-quality images, improperly cared-for equipment, and other factors can impact diagnostic success. Equipment aside, we can still appreciate that they are not without pitfalls, including: 3,5,6
- Overinterpretation or misinterpretation.
- A failure to apply the right amount of pressure. If you do not use the transducer with just the right finesse, you could displace fluid, falsely thinking there is no fluid when there is.
- Failing to smooth out the fur can create an artifactual air pocket that causes images to be distorted or incorrect or hinders diagnostic evaluation.
- Difficulties because of an inability to discern high cellular exudates from fat.
- When rushed or if performing an incomplete exam, we may fail to scan an entire area after finding fluid. If we had not been careful and had not evaluated the structures around the fluid and contextualized the location, we could have falsely identified free fluid contained in an organ. You may have scanned a full gallbladder, uterus, colon, intestinal loop, blood vessel, or bladder, and the fluid you saw was a normal finding. Additionally, you could do the same with gas. Thus, always confirm where you are seeing an abnormality.
Further limitations arise because of numerous factors. An aFAST scan ultimately depends on the sonographer’s skill, the quality of the equipment, and its upkeep. Remember, we usually perform these on patients experiencing high stress. Further, while we can note the presence or absence of fluid, we still must perform an abdominocentesis to obtain a sample and determine the type of fluid present.
In dehydrated or hypotensive patients, fluid may not be present until a patient is rehydrated; thus, the initial evaluation may miss fluid. This is why serial evaluation (tracking) is paramount, improving the diagnostic sensitivity with time.3,5,6

Peritoneal effusion, abnormal spleen and liver, confirmed hemoabdomen.
Client education
When talking with clients about these types of scans, it is essential to clarify they represent but a minor aspect of the entire picture. Ensure they understand advanced imaging by a specialist may be warranted to confirm or refute findings and determine additional abnormalities and finer details.
Show pictures as they emphasize and convey meaning to your findings. Simply telling clients there was fluid or a huge mass on the bladder can be hard to wrap their heads around. However, providing images helps them visualize what is wrong and can help provide peace of mind. If you have a fluid sample from centesis, showing the client the sample may further emphasize severity, demonstrate a problem, and help owners come to terms with a diagnosis or prognosis.
Being able to show your client a picture, as in Figures 1-4, show your pet parents a syringe of frank blood aspirated from the abdomen, and explain your findings relative to the patient’s clinical signs with confidence helps to support the clients. Further, it helps guide treatment decisions jointly between you and the pet parents.
Ensuring you are confident and comfortable with assessing patients not just affected by trauma but any patient that presents to your clinic with a medical condition, collapse, or other abnormality provides your clients with a sensitive and specific, fast means to rule in and rule out several conditions. While it may not provide all the answers, findings on an abdominal POCUS can help guide additional diagnostics and treatment options and provide your clients with information to make informed decisions about the next steps for their pets. Numerous resources and courses are out there to help practitioners hone their skills. Take advantage of these opportunities and up your game. If you are not using this technique, or if you are, simply improving your skill set, as practice remains paramount to success.
Erica Tramuta-Drobnis, VMD, MPH, CPH, is the CEO and founder of ELTD One Health Consulting, LLC. Dr. Tramuta-Drobnis works as a public health professional, emergency veterinarian, freelance writer, consultant, and researcher. She is passionate about One Health issues and believes pet health, food safety, agricultural health, and more can address the interconnection of human, animal, and environmental health.
References
- Lisciandro GR. Abdominal and thoracic focused assessment with sonography for trauma, triage, and monitoring in small animals. J Vet Emerg Crit Care. 2011;21(2):104-122.
- Lisciandro GR. Sonography in the Emergency Room. In: Drobatz KJ, Hopper K, Rozanski EA, Silverstein DC, eds. Textbook of Small Animal Emergency Medicine. First. John Wiley & Sons, Ltd; 2018:1183-1194.
- Lisciandro GR (Ed). Point-of-Care Ultrasound Techniques for the Small Animal Practitioner, 1st Edition. First. John Wiley & Sons, Incorporated; 2014.
- Lisciandro GR. Abdominal and thoracic focused assessment with sonography for trauma, triage, and monitoring in small animals. J Vet Emerg Crit Care. 2011;21(2):104-122.
- Lisciandro GR. Point-of-Care Ultrasound Techniques for the Small Animal Practitioner, 2nd Edition | Wiley. Second. Wiley-Blackwell; 2020. Accessed March 2, 2025. https://www.wiley.com/en-us/Point-of-Care+Ultrasound+Techniques+for+the+Small+Animal+Practitioner%2C+2nd+Edition-p-9781119461029
- Lee J. Emergency Medicine/Toxicology. Lecture Series: Live presented at: Delaware Valley Academy of Veterinary Medicine; November 11, 2020; Virtual,
- Boysen SR, Rozanski EA, Tidwell AS, Holm JL, Shaw SP, Rush JE. Evaluation of a focused assessment with sonography for trauma protocol to detect free abdominal fluid in dogs involved in motor vehicle accidents. J Am Vet Med Assoc. 2004;225(8):1198-1204.

