Skip to content Skip to Footer

Veterinary Practice News Canada Logo

  • News
  • Practice Management
  • Medical/Clinical
    • Cat/Dog
    • Equine/Large Animal
    • Avian/Exotic
    • Medicine
    • Brain Teaser
  • Archives
    • Newsletters
    • Digital Editions
  • Demo-Casts
  • Sign in Subscribe

menu icon


Veterinary Practice News Canada Logo

Search Veterinary Practice News Canada

Tag: Vomiting

Tummy troubles: Empirical treatment of acute vomiting and other GI symptoms

January 6, 2022

Some of the most common clinical presentations seen in general practice are gastrointestinal symptoms, such as vomiting and diarrhea.

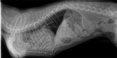
Why is this Pekingese vomiting?

June 1, 2018

This 10 year old male Pekingese was presented for vomiting. Questions: Describe the radiograph. What is your diagnosis? Explain the surgical steps. What is a critical precaution preop?

Sign up for our newsletter

Get all the latest news and features from Veterinary Practice News Canada. Submit your email below to get our twice-monthly newsletter.

Popular Articles

  1. 1
    Canada’s dog import rules still disrupting veterinary and rescue networks
  2. 2
    Federal investment bolsters new veterinary training program in Northern Ontario
  3. 3
    Kinesiology taping–does it work? If so, how?
  4. 4
    Pet toxicity claims continue to rise across Canada
  5. 5
    P.E.I. vets highlight risks from N.B. provincial lab closure

Read the Latest Issue

March 2026 cover
March 2026
Sponsored By
NVA Canada
Flipbook
PDF
About Us Advertise Contact Us
Subscribe Terms and Conditions of Use
Privacy Policy Accessibility Cookie Policy

Copyright ©2026 Kenilworth Media Inc. All Rights Reserved.

We use cookies on our website to give you the most relevant experience by remembering your preferences and repeat visits. By clicking “Accept All”, you consent to the use of ALL the cookies. However, you may visit "Cookie Settings" to provide a controlled consent.
Cookie SettingsAccept All
Manage consent

Privacy Overview

This website uses cookies to improve your experience while you navigate through the website. Out of these, the cookies that are categorized as necessary are stored on your browser as they are essential for the working of basic functionalities of the website. We also use third-party cookies that help us analyze and understand how you use this website. These cookies will be stored in your browser only with your consent. You also have the option to opt-out of these cookies. But opting out of some of these cookies may affect your browsing experience.
Necessary
Always Enabled
Necessary cookies are absolutely essential for the website to function properly. These cookies ensure basic functionalities and security features of the website, anonymously.
CookieDurationDescription
cookielawinfo-checkbox-analytics11 monthsThis cookie is set by GDPR Cookie Consent plugin. The cookie is used to store the user consent for the cookies in the category "Analytics".
cookielawinfo-checkbox-functional11 monthsThe cookie is set by GDPR cookie consent to record the user consent for the cookies in the category "Functional".
cookielawinfo-checkbox-necessary11 monthsThis cookie is set by GDPR Cookie Consent plugin. The cookies is used to store the user consent for the cookies in the category "Necessary".
cookielawinfo-checkbox-others11 monthsThis cookie is set by GDPR Cookie Consent plugin. The cookie is used to store the user consent for the cookies in the category "Other.
cookielawinfo-checkbox-performance11 monthsThis cookie is set by GDPR Cookie Consent plugin. The cookie is used to store the user consent for the cookies in the category "Performance".
JSESSIONIDsessionThe JSESSIONID cookie is used by New Relic to store a session identifier so that New Relic can monitor session counts for an application.
viewed_cookie_policy11 monthsThe cookie is set by the GDPR Cookie Consent plugin and is used to store whether or not user has consented to the use of cookies. It does not store any personal data.
Functional
Functional cookies help to perform certain functionalities like sharing the content of the website on social media platforms, collect feedbacks, and other third-party features.
CookieDurationDescription
__cf_bm30 minutesThis cookie, set by Cloudflare, is used to support Cloudflare Bot Management.
Performance
Performance cookies are used to understand and analyze the key performance indexes of the website which helps in delivering a better user experience for the visitors.
Analytics
Analytical cookies are used to understand how visitors interact with the website. These cookies help provide information on metrics the number of visitors, bounce rate, traffic source, etc.
CookieDurationDescription
vuid2 yearsVimeo installs this cookie to collect tracking information by setting a unique ID to embed videos to the website.
_ga2 yearsThe _ga cookie, installed by Google Analytics, calculates visitor, session and campaign data and also keeps track of site usage for the site's analytics report. The cookie stores information anonymously and assigns a randomly generated number to recognize unique visitors.
_gat1 minuteThis cookie is installed by Google Universal Analytics to restrain request rate and thus limit the collection of data on high traffic sites.
_gat_UA-1 minuteA variation of the _gat cookie set by Google Analytics and Google Tag Manager to allow website owners to track visitor behaviour and measure site performance. The pattern element in the name contains the unique identity number of the account or website it relates to.
_gid1 dayInstalled by Google Analytics, _gid cookie stores information on how visitors use a website, while also creating an analytics report of the website's performance. Some of the data that are collected include the number of visitors, their source, and the pages they visit anonymously.
__gads1 year 24 daysThe __gads cookie, set by Google, is stored under DoubleClick domain and tracks the number of times users see an advert, measures the success of the campaign and calculates its revenue. This cookie can only be read from the domain they are set on and will not track any data while browsing through other sites.
Advertisement
Advertisement cookies are used to provide visitors with relevant ads and marketing campaigns. These cookies track visitors across websites and collect information to provide customized ads.
CookieDurationDescription
ADV_u_id3 months 8 daysUnique customer identifier used to track unique ad views and interactions with some ads.
anj3 monthsAppNexus sets the anj cookie that contains data stating whether a cookie ID is synced with partners.
fr3 monthsFacebook sets this cookie to show relevant advertisements to users by tracking user behaviour across the web, on sites that have Facebook pixel or Facebook social plugin.
IDE1 year 24 daysGoogle DoubleClick IDE cookies are used to store information about how the user uses the website to present them with relevant ads and according to the user profile.
locneverAddThis sets this geolocation cookie to help understand the location of users who share the information.
OAGEOsessionOpenX sets this cookie to avoid the repeated display of the same ad.
OAID1 yearCookie set to record whether the user has opted out of the collection of information by the AdsWizz Service Cookies.
test_cookie15 minutesThe test_cookie is set by doubleclick.net and is used to determine if the user's browser supports cookies.
uuid23 monthsThe uuid2 cookie is set by AppNexus and records information that helps in differentiating between devices and browsers. This information is used to pick out ads delivered by the platform and assess the ad performance and its attribute payment.
_fbp3 monthsThis cookie is set by Facebook to display advertisements when either on Facebook or on a digital platform powered by Facebook advertising, after visiting the website.
Others
Other uncategorized cookies are those that are being analyzed and have not been classified into a category as yet.
SAVE & ACCEPT